CASO DE ÉXITO DE NUESTRA PACIENTE
Raquel

Dra Raquel Useros Roldán

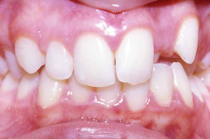
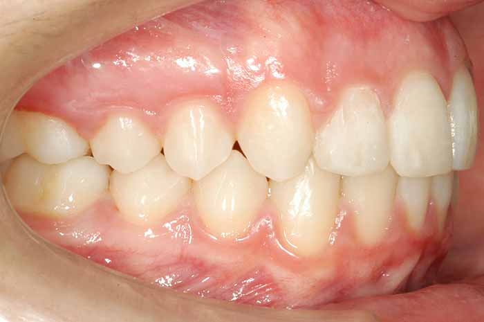
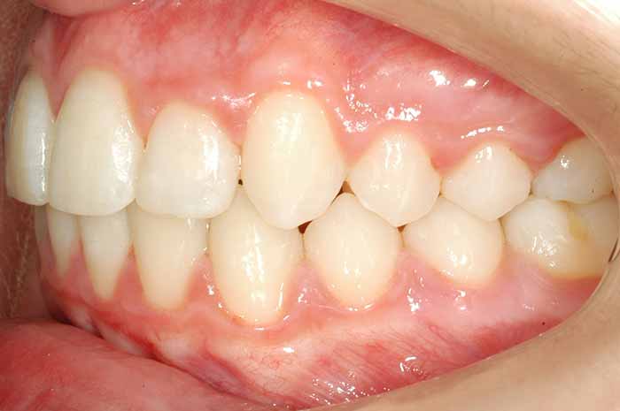
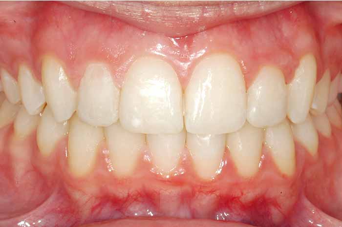
Problema:
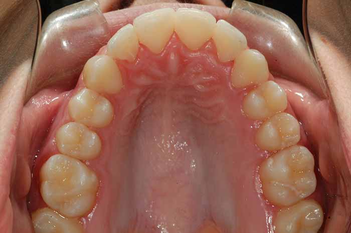
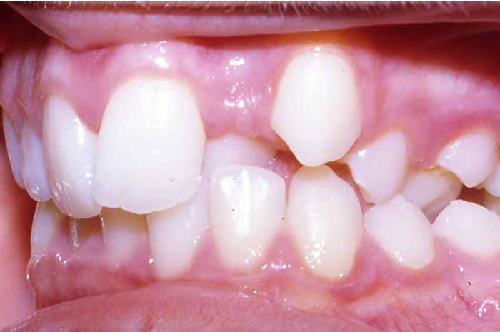
Mordida cruzada anterior
Uno o varios incisivos superiores se situan por detrás de los inferiores, pudiendo alterar el correcto cierre de la boca.
Tratamiento realizado:
Ortodoncia convencional con brackets metálicos
En este caso, para conseguir un resultado óptimo, también se utilizó un aparato removible (de quita y pon) en la arcada superior, previo a la colocación del aparato fijo (brackets).
La excepcional colaboración de la paciente fue fundamental para la consecución de los resultados.
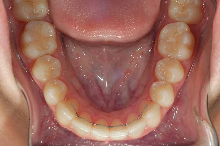
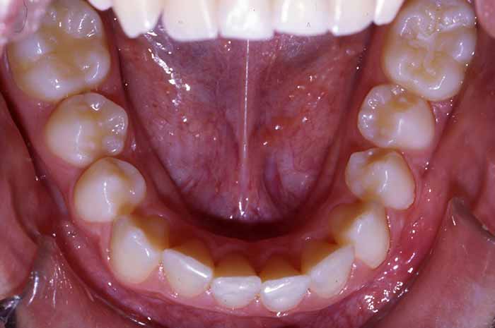
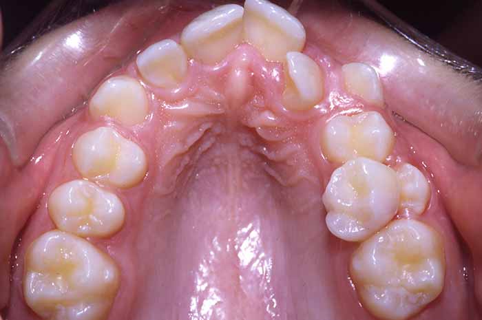
Antes y Después






